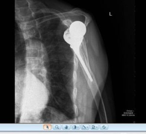
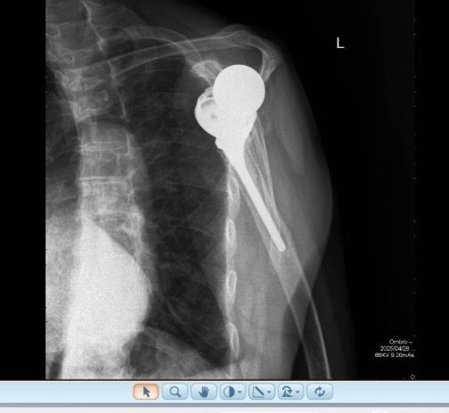
Segundo caso de utilização do sistema VIP Arthrex numa revisão de prótese invertida por loosening asséptico secundário a notching inferior.
Planeamento pre operatório após remoção de implantes anteriores. O sistema permite remover implantes e simular várias opções de dimensão e posicionamento quer da baseplate e glenosfera bem como do componente úmeral. Obtivemos um resultado em termos de mobilidade passiva no intra operatório exatamente igual ao planeado. Trata-se de uma inovação incrível na cirurgia de precisão, útil sobretudo em revisões complexas. O grupo do ombro da Luz Oeiras a inovar mais uma vez.
Resultados clínicos em publicação futura.
Hospital da Luz Learning Health Hospital da Luz
SPOC – Sociedade Portuguesa do Ombro e Cotovelo (Portuguese Shoulder and Elbow Society) Arthrex Portugal Arthrex GmbH
Diogo Constantino Eduardo Carpinteiro
SECEC – Shoulder & Elbow Community





